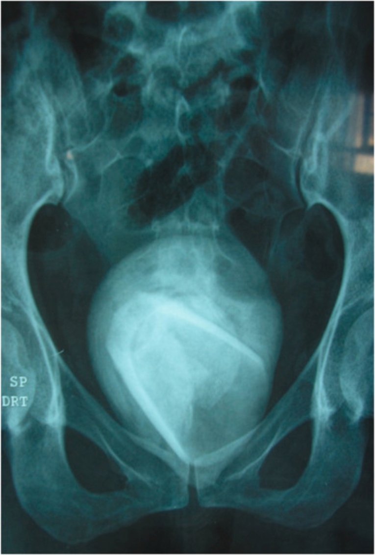
45-godišnja žena iz Tunisa došla je u bolnicu žaleći se na tipične simptome infekcije mokraćnog sistema. Međutim, nakon pregleda liječnici su ostali u šoku zbog otkrića. Naime, u njenom mjehuru pronašli su čašu obloženu bubrežnim kamencem širine 8 centimetara.
Žena je naposljetku otkrila da je čašu koristila kao seksualnu igračku prije nekoliko godina. Njen slučaj objavljen je u medicinskom časopisu Science, uključujući nevjerovatne snimke CT-a i sliku čaše i kamenca.
Iako liječnički izvještaj to ne spominje, žena je možda praktikovala ono što je poznato kao "sondiranje uretre", prema pisanju The Suna. Rizična aktivnost uključuje umetanje čaše ili predmeta u mokraćnu cijev kako bi se "pojačao seksualni užitak i uzbuđenje", izvještava Wed MD. Liječnici su imali izvješća o ljudima koji su to radili namjerno, bilo zbog problema s mentalnim zdravljem ili radi užitka - ali to se ne preporučuje.
Ljudima je neugodno potražiti pomoć pri ovakvim nezgodama
U izvještaju je navedeno: "Motivi koje se najčešće povezuje s prisutnošću stranih tijela u mokraćnom mjehuru su seksualne ili erotske prirode. U mjehur su umetnuti različiti predmeti, a mnogi pacijenti ih ne uklone sami i vrlo im je neugodno potražiti liječnički savjet, što je uzrok kliničke slike koja je najčešće atipična."
Dva dana po operaciji uklanjanja stranog tijela iz njenog mjehura žena se oporavila i stanje joj je bilo dovoljno dobro da bude otpuštena kući.
Izvještaj je zaključio: "Komplikovani oblici su oni koji se kasno dijagnostifikuju i često su povezani s rekurentnim infekcijama mokraćnog sistema, litijazom i/ili fistulama. Najbolji tretman ostaje preventiva balansiranjem temeljnog etiopatogenog poremećaja s ispravnim polnim odgojem."
